【治療前】
右上6番(第1大臼歯)の3根の内の1本だけが残存して5番(第2小臼歯)にぶつかってしまっています。
このままだと接触点が上手く磨けないため、5番までが虫歯になってしまいます。
通常ならこのまま抜歯で、抜歯後をどうするかという相談になるかと思いますが、6番(第1大臼歯)の3根中、2根ないし1根だけでも補綴治療をして温存している症例があるのも事実です。
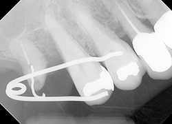
【治療中】
特殊な部分矯正装置を用いて、アップライト(引き起こし)を試みました。
【治療後】
無事引き起こすことが出来ました。治療期間は約2ヶ月です。
後戻りを防ぐため、仮歯で一定期間様子を見つつ、最終補綴物を入れることが出来、現在も良好に使用されています。
【治療期間】約3ヶ月
【治療費】約25万円
【一般的なリスクや副作用】3根中の1根のみの残存だったので、どれぐらい持つか不安要素もありましたが、もう10年以上経過していますが動揺等も見られず健康に機能しています。
安易な抜歯は致しません。使える歯は可能な限り使いましょう。







