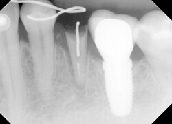
【治療前】
左下5番(第2小臼歯)がコアごと脱離してきて、カリエスを除去したところ、ほぼ骨のレベルに至る残根となりました。
このままでは適切な補綴処置が出来ません。無理やりコアを立てて補綴すると、歯肉の慢性炎症を起こすだけでなく、近い将来歯根破折を起こし抜歯になることが予想されます。ちなみに骨のレベルから5mmほど歯冠方向に残根が存在すれば予後良好な補綴物が入れられます。
6番(第1大臼歯)にインプラントが入っているのもあり、ご本人はインプラントにして欲しいとのことでしたが、歯根長も十分にあるので矯正的挺出をご提案しました。
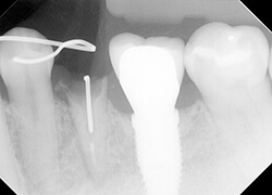
【治療中】
部分矯正で挺出しているところです。歯痕には?マークのようなフックを固定。34(犬歯、第1小臼歯)から伸ばしたワイヤーにリングを設置し、フックからリングを通して、3番(犬歯)のボタンに矯正ゴムを掛けています。
挺出は期間も短く、2週間に一度、ゴムを2回ほど交換して約1か月。
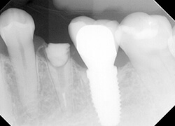
【治療後】
無事挺出が完了しました。骨のレベルから5mm程度の歯根があるのが分かります。
これならファイバーでコアを築造しても、横揺れに強い、つまり折れにくい最終補綴物を入れることが出来ます。
ちなみに当院では、コアの築造はほぼ100%ファイバーで行います。
歯が割れて抜歯に至る歯根破折は、メタルのコアが原因になっていることがほとんどです。
ファイバーでは横揺れに負けてしまうような症例には、上記のような矯正的挺出を第一にお勧めしています。
【治療期間】約3ヶ月
【治療費】約25万円
【一般的なリスクや副作用】部分矯正の治療器具が不快かもしれませんが、抜歯再植よりは安全性の高い治療法です。
要抜歯案件でもインプラント一択ではありません。矯正による挺出も選択肢に入れるべきです。







