【治療前】



全顎的な歯周病が進み、前歯が反対咬合になっているのをはじめ、咬み合わせが崩壊しています。
欠損部分は放置され義歯も使っていない状態でした。被せ物や根っこの治療の不備もあり、このままでは更に歯の喪失が加速されてしまいます。
【治療】



まずは上下顎に治療用の義歯を製作し咬み合わせを回復しつつ、矯正器具を用いて前歯部の反対咬合など不正咬合を改善していきました。併せて正しい歯みがきを覚えて頂き口腔内環境の改善に努めて頂きました。全顎的な歯周治療も平行して行っていきました。
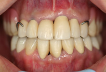
【治療後】



約2年後の写真です。患者さんの口腔ケアに対する意識も向上し、非常に良い口腔内環境が保たれています。上顎には部分入れ歯が入っており、何でも不自由なく食べて頂いています。左下の第一大臼歯部にはインプラントが1本埋入されて咬み合わせが改善されています。右下の欠損部に関しては将来的なインプラント治療も視野に入れておりますが、不自由がないとのことで部分入れ歯は入れておりません。
【治療期間】約2年 【治療費】インプラントのみ40万円、他は保険治療
【一般的なリスクや副作用】なお、一度治療が終了しても、良好な状態を維持するには持続的な定期検診やメンテナンスが必要となります。
歯がきれいに並んでいるということは、良くものを食べられるということにつながります。
また見た目が良くなり良く咬めるということは、口腔内環境を向上する上での何よりものモチベーションとなります。今の状態に諦めず、お口の中のどんな悩みでもご相談下さい。







