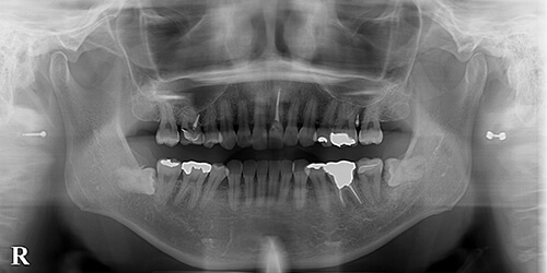
【治療前】

写真では分かりにくいですが、左下7(第2大臼歯)が垂直的に破折しており保存困難ですが、その後ろに水平埋伏智歯が確認できます。
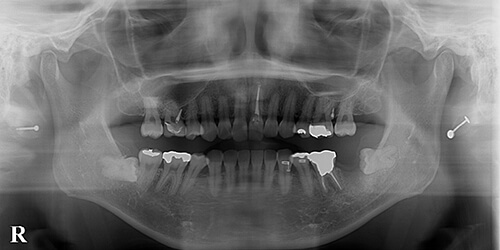
【治療中】

左下7(第2大臼歯)抜歯後です。矯正を始めるなら、完全に創傷が感知する前(7相当部に骨が出来てしまう前)に矯正を始めるのが適当かと思われます。
【治療中】

挺出とアップライト(後ろに起こすこと)を同時にもしくは交互に行っているところです。
噛み合わせの関係もあって挺出し過ぎているのもあり、同時に圧下もしなければいけなくなりました。
相当な力が必要なため、アンカーは反対側の4番(第1小臼歯)まで伸ばしてあります。
【治療中】

ワイヤーだけの圧下が困難と判断し、骨の内側と外側に一時的なミニインプラントを埋入し、このインプラントをアンカーに8(親知らず)の圧下と移動を試みているところです。
【治療後】

約2年かかりましたが、ようやく目的の位置まで移動することが出来ました。十分に保定後、ミニインプラントは除去致しました。上顎と違って、下顎の8番(親知らず)の部分的矯正は、このケースのようにかなり大変な場合もあります。
しかし、生活歯として使っていけるという圧倒的メリットもあるため、治療期間を除いては、抜歯再植よりもメリットが多い治療法だと思われます。
- 【治療期間】約2年
- 【治療費】約30万円
- 【一般的なリスクや副作用】歯根尖で3cm以上動かす治療なので、時間がかかりました。複雑な矯正器具を付け替えていくので、治療中の咀嚼時等に不快感はあるかと思います。
時間はかかりますが、満足度の高い治療かと思います。







