【治療前】
転倒してしまい、右上1(中切歯)の唇側がひどく腫れて来院されました。
写真では分かりにくいですが、右上の1番(中切歯)の唇側に骨に至るほどの破折が確認できました。
写真からは生活歯ですし、どうしようか悩みました。
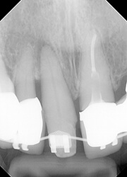
【治療中】
とりあえずは抜髄せず、生活歯のまま、ヒビの最深部が歯周ポケット内に現れてくるまで、部分矯正で挺出を試みました。
【治療中】
4mmほど挺出させたところで腫れが消失して、歯髄も生活歯のままであることが確認できました。
一度挺出を始めると早いもので、数週間で部分矯正は終了です。
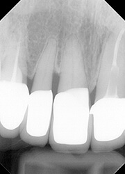
【治療後】
最終補綴物が装着されたところです。
植わっている歯根の長さは短くなりましたが、日常的には問題ありません。
歯髄も守られましたし、何より白黒がはっきりとした無病である状態に持って行くのが大切です。
【治療期間】約3ヶ月
【治療費】約25万円
【一般的なリスクや副作用】急速な挺出を行うと、せっかくの生活歯が失活してしまう可能性があるので、慎重な挺出が必要です。
抜髄、あわよくば抜歯になりそうなケースも、部分矯正を用いることで健全な状態に補綴することが出来ました。







